Fremont Dental Imaging provides digital dental x-rays, panoramic and cephalometric radiographs, and 3D CBCT imaging. We aim to make every visit clear, comfortable, and supported by transparent pricing. Results are often ready the same day, with a simple process for patients and referring dentists.

Explore a full range of dental imaging services in Fremont, from digital dental x-rays and panoramic radiographs to cephalometric and 3D CBCT scans. Results are typically available the same day, with transparent pricing across all services.
Comprehensive CBCT 3D imaging for implants, oral surgery, and TMJ evaluation—delivering precise detail with transparent pricing.
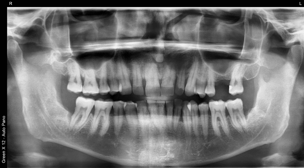
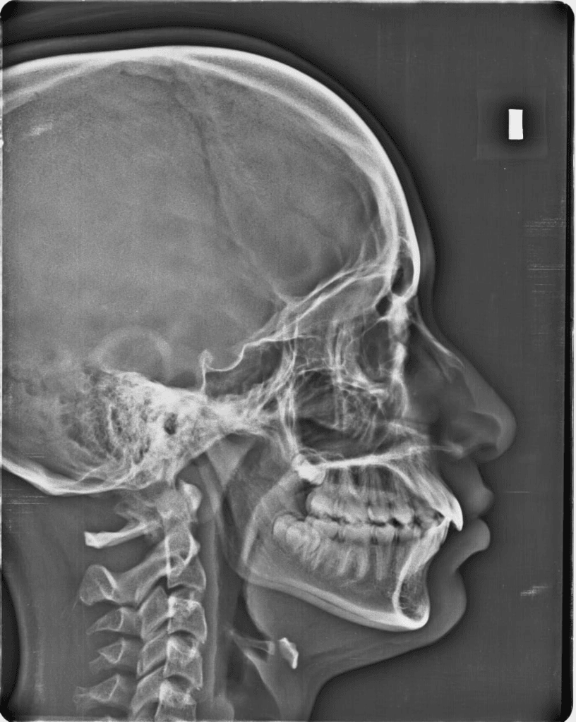
Essential 2D radiographs including panoramic and cephalometric dental x-rays, used for orthodontics, wisdom teeth, and general assessment.

Wide-view X-ray for a general overview.

Lateral skull X-ray for orthodontic analysis.

Professional clinical photography for documentation.

No more messy molds — fast, accurate digital scans.

Specialized scanning for fabricating implant-supported dentures.
Custom scans tailored to unique needs such as dual denture records, at-home aligners, and grillz or custom jewelry.
We follow ALARA (As Low As Reasonably Achievable) with modern digital systems and dose-optimization protocols. Exposures are tailored to the clinical need, with pediatric settings, equipment calibration, and protective measures used as appropriate.
Learn More About Radiation SafetyClear options for digital dental x-rays, panoramic and cephalometric radiographs, and 3D CBCT imaging—backed by transparent pricing. Our intent is to keep fees consistent and predictable, with results often available the same day depending on case complexity.
| Service | Description | Price |
|---|---|---|
| Advanced 3D Imaging (CBCT) | ||
| CBCT – Limited Field of View | Localized 3D dental x-ray for a specific region (endodontics, implant site, pathology). | $175 |
| CBCT – Full Arch | Comprehensive 3D dental x-ray of one arch for implants/oral surgery planning. | $340 |
| 2D Dental X-Rays | ||
| Panoramic Dental X-Ray (2D) | Wide-view radiograph for general assessment (wisdom teeth, screening). | $150 |
| Cephalometric Dental X-Ray (2D) | Lateral skull radiograph for orthodontic/surgical measurements. | $150 |
| Specialty Dental Scans | ||
| Dual Denture Dental Scan | Records for implant-supported/prosthetic planning. | $95 |
| Scans for At-Home Aligners | Records for mail-order/remote aligner programs. | Call us for more details |
| Scans for Grillz & Custom Jewelry | Precision teeth scans for custom designs/fabrication. | Call us for more details |
| Photos & Digital Impressions | ||
| Intraoral & Extraoral Photos | High-resolution clinical photography for documentation. | $100 |
| Digital Intraoral Impressions | Radiation-free 3D dental impressions (scanner capture). | $100 |
| Orthodontic Bundles | ||
| 2D Ortho Bundle | Cephalometric + Panoramic radiographs. | $260 |
| 3D Ortho Bundle | CBCT + Ceph + Pano (+ airway/TMJ views as indicated). | $450 |
All prices are shown in USD; any changes are confirmed before imaging.
Timing and indications vary by case; your clinician will advise which study is appropriate.
Fremont Dental Imaging partners with local dentists, orthodontists, and oral surgeons to provide digital dental x-rays and 3D CBCT scans. Referrals are handled with transparent pricing, standardized datasets, and results typically delivered the same day.